Our Products

NEWDENT - is proud to offer full dental laboratory services. Crown & Bridge, Full & Partial Dentures, Implants and Orthodontic Appliances. We take great pride in our artistry and excelling in creating high-end esthetics for any and all projects we touch.

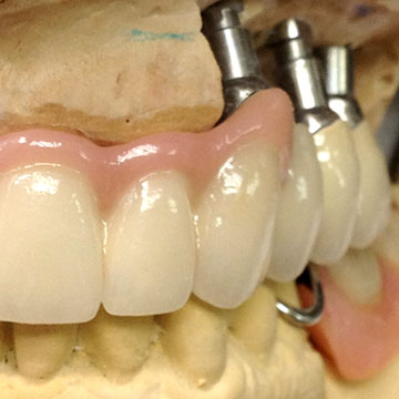
Implants

Our technicians have extensive skills and experience in all aspects of dental implants and the expertise to make all of your dental implant cases a success.

Our CAD/CAM implant solutions provide high accuracy and outstanding aesthetics.

We support all major implant systems

  • Nobel Biocare
  • Straumann
  • Zimmer
  • Procera
  • Ankylos...and more

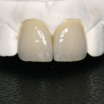
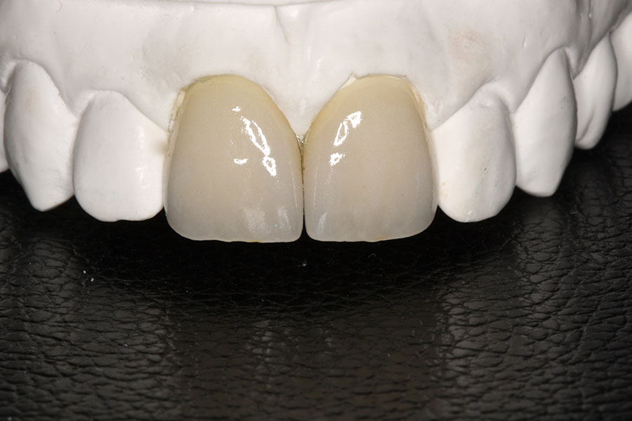
Zirconia Crowns and Bridges

Zirconium is becoming one of the most chosen materials for dental crowns.

The aesthetic effects alone of a zirconia crown should be the biggest advantage it can give. It is important that you have dental crowns that will look natural especially if it will be placed at the front teeth and will be visible beside the natural teeth.

Benefits of Full Contour Zirconia

  • Full contour zirconia crowns and bridges without a ceramic veneer.
  • No chipping.
  • Cost effective and esthetic metal free restorations.
  • Biocompatible and durable.
  • Natural-looking characteristics
  • Enhanced esthetics

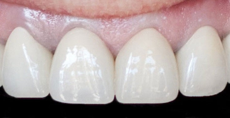
e.Max Veneers and Crowns

A highly esthetic IPS e.max Press lithium disilicate glass-ceramic.

The industrial production process creates absolutely homogeneous ingots in different translucency levels. They demonstrate a strength of 400 MPa. The ingots are pressed to restorations with outstanding accuracy of fit in lvoclar Vivadent press furnaces. The pressed, tooth-colored, highly esthetic restorations are stained and/or veneered with IPS e.max Ceram and glazed.

e.max Press Ceramic Benefits

  • Pressing eliminates porcelain porosity resulting in higher strength.
  • Precise Fit: No Condensation Shrinkage improves fit and reduces adjustment time.

PFM Crowns and Bridges

Porcelain fused to metal restorations continue to serve as one of dentistry’s primary restorations of choice.

Dedicated teams of technicians create dynamic interaction of chroma, luminosity, and transparency that ensures the beautiful and natural appearance while maintaining function and esthetics and providing high-quality PFM restorations every time.

PFM - Porcelain Fused to Metal Benefits

  • Longevity
  • Long-span bridges
  • Kindness to opposing dentition

Removable

  • Complete and Partial Acrilic Dentures
  • Overdentures
  • Cast Partial Denture
  • Thermoplastic Night Guard
  • Hard Night Guard
  • Sport Guard
  • Surgical Stent

Screw-retained restorations

Screw-retained restorations offer predictable retention, easy of retrievability, and reduced risk of residual cement.

The main advantage is retrievability. The crown is not only recoverable, but no damage occurs upon removal of the crown. In the event of loosening or fracture, the crown can easily be removed.

Screw-retained Products

  • Crowns
  • Bridges
  • Bars

Have a question or comment? Contact Us:

220 Industrial Pkwy South, Unit 37, Aurora, ON, L4G 3V6
Email: info@newdent.ca    |    Phone: 905 841 6980